卓上型SEM(電子顕微鏡)
SEM観察が一般化されて半世紀。あらゆる分野にてSEM観察は重要な観察手段となっています。
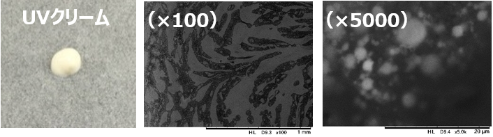
卓上型SEMの“帯電軽減モード”なら、 FE-SEMでは観察できない試料も観察、分析が可能かもしれません。
半導体、電子部品分野のみならず、ライフサイエンス、生物分野でも活用できます。
日立ハイテク社製 TM3030Plus
SEMの原理は電子を試料にあて、試料からでてくる2次電子、反射電子を像としています。
FE-SEM観察では高真空下で観察する必要があり、水分や油など揮発成分が出る試料は真空度が低くなるため、観察ができない場合があります。
卓上型SEMでは、低真空下での観察が可能なモード(帯電軽減)があるため、揮発成分がでる試料の観察や元素分析が可能です。
半導体、電子部品などの導電性のある試料は主に通常/導電体モードでSEM観察がお勧め。
元素分析は導電体/分析モードがお勧め。
プラスチック、紙、ゴム、セラミックスなど導電性のない試料や水分・油分を含む生物、植物、食品、化粧品などの観察は表面・通常/帯電防止モードでのSEM観察がお勧め。
元素分析は帯電防止/分析モードがお勧め。
卓上型SEM(電子顕微鏡)によるネオジム磁石の断面観察
ネオジム磁石など磁性を帯びた試料は、着磁状態でSEM観察はできませんが、脱磁処理を施すことで、SEM観察や元素分析を行うことができます。
ネオジム磁石の脱磁とSEMによる断面観察(日立ハイテク社製TM3030Plus)
脱磁処理 (磁石は、着磁状態でのSEM観察が不可能なため、脱磁を実施)
ハードディスク内部で使用されていたネオジム磁石を脱磁処理し、断面観察。
断面観察
EDXによる元素分析
卓上型SEM(電子顕微鏡)によるクラック観察
製品の信頼性評価において、クラックの断面観察は欠かせません。
光学顕微鏡観察では見落とす可能性がある微小なクラックもSEM観察では明確に確認することが可能です。
しかも卓上SEMなら、 導電処理が不要で、すばやく詳細な観察ができます。
チップセラミックコンデンサの金属顕微鏡観察
チップセラミックコンデンサの卓上SEM観察 (日立ハイテク社製TM3030Plus)
蒸着不要!
簡易的に結晶粒が見える !
微細なクラックが見えやすい !





